La néphrite interstitielle, également appelée néphrite tubulo-interstitielle, est une inflammation de la région du rein appelée interstitium, qui consiste en un ensemble de cellules, de matrice extracellulaire et de liquide entourant les tubules rénaux. En plus de fournir un support d'échafaudage pour l'architecture tubulaire, il a été démontré que l'interstitium participait à l'échange de fluide et d'électrolyte ainsi qu'aux fonctions endocriniennes du rein. Divers facteurs connus peuvent provoquer le processus inflammatoire au sein de l'interstitium rénal, notamment des facteurs contribuant aux maladies pharmacologiques, environnementales, infectieuses et systémiques. Le spectre de la maladie peut aller d'un processus aigu à une maladie chronique caractérisée par une lésion progressive des cellules tubulaires et un dysfonctionnement rénal.
Signes et symptômes
La néphrite interstitielle peut présenter une variété de signes et de symptômes, dont beaucoup ne sont pas spécifiques. La fièvre est la plus fréquente chez 30 à 50% des patients, en particulier ceux atteints de néphrite interstitielle induite par un médicament. Les nausées, les vomissements, la fatigue, le manque d'appétit et la perte de poids sont d'autres symptômes généraux. Des symptômes plus spécifiques, tels que douleur au flanc, douleur à la miction et sang visible dans l'urine, ainsi que des signes tels que l'hypertension artérielle peuvent être utiles pour accroître la suspicion du diagnostic. La triade "classique" des symptômes rapportés dans les premiers cas documentés consistait en une éruption cutanée, des douleurs articulaires et une augmentation du nombre d'éosinophiles dans le sang; Cependant, une épidémiologie plus récente suggère que ce groupe de symptômes ne concerne qu'une petite minorité (5 à 10%) des patients.
Les causes
Les causes courantes incluent une infection ou une réaction à un médicament tel qu'un analgésique ou un antibiotique tel que la méticilline. La réaction aux médicaments est responsable de 71% à 92% des cas.
Médicaments
Cette maladie est également causée par d'autres maladies et toxines qui endommagent les reins. La néphrite tubulo-interstitielle aiguë et chronique peut être causée par une infection bactérienne des reins appelée pyélonéphrite, mais la cause la plus fréquente est une réaction indésirable à un médicament. Les médicaments connus pour provoquer ce type de réaction sont les antibiotiques β-lactames tels que la pénicilline et la céphalexine, ainsi que les anti-inflammatoires non stéroïdiens (l'aspirine moins souvent que d'autres), ainsi que les inhibiteurs de la pompe à proton, la rifampicine et les sulfamidés, fluoroquinolones, diurétiques, allopurinol, mésalamine et phénytoïne. Le délai entre l'exposition au médicament et le développement de la néphrite tubulo-interstitielle aiguë peut varier de 5 jours à 5 mois (si induite par le fénoprofène).
Diagnostic
Parfois, il n'y a pas de symptômes de cette maladie, mais quand ils surviennent, ils sont très variés et peuvent se manifester rapidement ou progressivement,,,,. Lorsqu'ils sont causés par une réaction allergique, les symptômes de la néphrite tubulo-interstitielle aiguë sont la fièvre (27% des patients), éruptions cutanées (15% des patients) et une hypertrophie des reins. Certaines personnes souffrent de dysurie et de douleurs au bas du dos. Dans la néphrite tubulo-interstitielle chronique, le patient peut présenter des symptômes tels que nausées, vomissements, fatigue et perte de poids. Une concentration élevée de potassium dans le sang (hyperkaliémie), une acidose métabolique et une insuffisance rénale peuvent également se développer.
Tests sanguins
Environ 23% des patients ont un taux élevé d'éosinophiles dans le sang.
Résultats urinaires
Les résultats urinaires comprennent :
- Éosinophilurie: les études originales sur la néphrite interstitielle aiguë induite par la méthicilline ont montré une sensibilité de 67% et une spécificité de 83%,. La sensibilité est plus élevée chez les patients atteints de néphrite interstitielle induite par la méthicilline ou lorsque la coloration de Hansel est utilisée. Cependant, une étude réalisée en 2013 a montré que la sensibilité et la spécificité des tests d'éosinophiles dans les urines sont de 35,6% et 68% respectivement,.
- Isosthénurie .
- Hématurie et occasionnellement cylindres de globules rouges
- Pyurie stérile: globules blancs et pas de bactéries
- Un syndrome néphrotique avec protéinurie peut être observée avec une néphrite interstitielle aiguë associée à la prise d'un AINS.
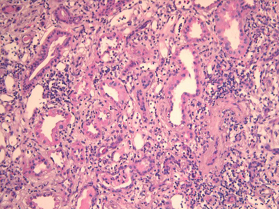
Pathologie
Bien que l'évaluation non invasive du patient (examen physique, analyses du sang et de l'urine, études d'imagerie) puisse être suggestive, la seule manière de diagnostiquer définitivement la néphrite interstitielle consiste à établir un diagnostic tissulaire par biopsie du rein. L'examen pathologique révélera la présence d'un œdème interstitiel et d'une infiltration inflammatoire avec diverses cellules sanguines, y compris neutrophiles, éosinophiles et lymphocytes. En règle générale, les vaisseaux sanguins et les glomérules rénaux ne sont pas affectés. La microscopie électronique montre des lésions mitochondriales dans les cellules épithéliales tubulaires, des vacuoles dans le cytoplasme et un réticulum endoplasmique élargi.
Scanner au gallium
La sensibilité d'un scanner au gallium anormal serait comprise entre 60% et 100%.
Traitement
Le traitement consiste à s'attaquer à la cause, par exemple en arrêtant le médicament incriminé. Il n'y a aucune preuve claire que les corticostéroïdes soient utiles. La thérapie nutritionnelle consiste en un apport hydrique suffisant, ce qui peut nécessiter plusieurs litres de liquide supplémentaire.
Pronostic
Les reins sont le seul système du corps directement affecté par la néphrite tubulo-interstitielle. La fonction rénale est généralement réduite. les reins peuvent être légèrement dysfonctionnels, voire totalement défaillants.
Dans la néphrite tubulo-interstitielle chronique, l'effet à long terme le plus grave est l'insuffisance rénale. Lorsque le tube contourné proximal est lésé, la réabsorption de sodium, de potassium, de bicarbonate, d'acide urique et de phosphate peut être réduite ou modifiée, entraînant un taux bas de bicarbonates (acidose métabolique), un potassium bas, un acide urique bas (hypouricémie), un phosphate bas (hypophosphatémie). Une lésion du tube contourné distal peut entraîner une perte de capacité de concentration de l'urine et une polyurie.
Dans la plupart des cas de néphrite tubulo-interstitielle aiguë, la fonction des reins se rétablit une fois que le médicament nocif est arrêté ou lorsque la maladie sous-jacente est guérie par le traitement. Si la maladie est causée par une réaction allergique, un corticostéroïde peut accélérer la récupération de la fonction rénale. Cependant ce n'est pas souvent le cas.
La néphrite tubulo-interstitielle chronique est incurable. Certains patients peuvent nécessiter une dialyse. Finalement, une greffe de rein peut être nécessaire.
Épidémiologie
La néphrite interstitielle est peu fréquente (incidence <1%) chez les patients ne présentant aucun symptôme, mais survient chez environ 10 à 15% des patients hospitalisés présentant une insuffisance rénale aiguë de cause inconnue. Bien que cela puisse se produire chez des patients de tous âges, il est plus fréquent chez les patients âgés, peut-être en raison d'une exposition accrue aux médicaments et à d'autres causes déclenchantes.
Notes et références
Liens externes
- Portail de la médecine



